Pelvis and acetabulum

by Ntambue Kauta & Sithombo Maqungo


Learning objectives

  1. Unstable pelvic fractures need to be identified early as they can be life-threatening.
  2. Early application of circumferntial binders saves lives
  3. Low energy fractures in the elderly often signify osteoporosis.
  4. Malunion leads to a reduction in the quality of life.

Introduction

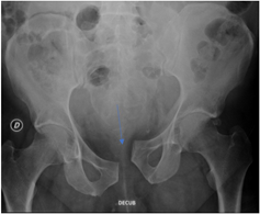
Pelvis and acetabulum fractures are two distinct entities which are often discussed together; however, they coexist infrequently in the same patient. The difference between the two is anatomical, and there are management and outcome implications.Pelvic fractures involve the pelvic ring but do not extend to the socket side of the hip joint. These fractures may involve the sacroiliac joints (Figure1).

Acetabulum fractures involve the socket side of the hip joint (a ball and socket joint) and can extend into the socket’s supporting columns (Figure2).Both fractures can be associated with life-threatening haemorrhage, but this is rare in acetabulum fractures.

Epidemiology

There are two modes of distribution:
High energy fractures (motor vehicle accidents, fall from height) often occur in the young and active patients and are associated with other life-threatening injuries. High energy pelvic fracturesrepresent 3–8% of all fractures seen in the emergency department and 25% of fractures seen in patients with multiple injuries.

Low energy fractures (fractures sustained from falls from a standing height) commonly occur in the elderly population. Females are affected more often than males, and there is an association with osteoporosis. These types of injuries are often isolated injuries with lower mortality.

X-Ray: Right acetabular fracture. Notice the disruption through the socket of the right hip.
X-Ray: Right acetabular fracture. Notice the disruption through the socket of the right hip.

Clinical assessment

The Advanced Trauma Life Support (ATLS) protocol is typically followed for assessing these injuries.
The primary survey focuses on assessing and managing life-threatening injuries.
The focus is on cardiovascular and respiratory resuscitation while maintaining spinal precautions.
Certain pelvic fractures are associated with exsanguinating intrapelvic bleeding, which can be fatal.Look out for signs of haemodynamic instability.

The secondary survey is a more comprehensive assessment, including taking a full history and a complete head-to-toe clinical examination.
It is particularly important to examine soft tissue around the hip in acetabular fractures and the anogenital area for open wounds in open pelvis fractures.
A rectal and or vaginal digital examination is necessary to rule out open fractures that may be communicating with the recto-anal or vaginal canal.
A thorough neurovascular examination of the lower limbs is mandatory, and the findings should be documented.

Radiological assessment

Pelvis fractures

The pelvis is a ring, therefore always assess the anterior and posterior halves of the ring for associated injuries. Unstable injuries:
These are present with a wide gap between the pubic symphysis (‘open book’ fracture) with disruption of the sacroiliac joint (SIJ). Another unstable injury is proximal displacement of one hemipelvis in vertical shear fractures. These injuries are associated with a higher rate of intrapelvic bleeding, haemodynamic instability and death.

Acetabulum fractures may be simple or complex (multiple fracture lines through the walls, columns or both, of the hip socket, or associated with a hip dislocation).

X-Ray image of an ‘open book’ pelvic injury. Note the wide separation of the pubic symphysis and the widening of the left sacroiliac joint compared to the right.
X-Ray image of an ‘open book’ pelvic injury. Note the wide separation of the pubic symphysis and the widening of the left sacroiliac joint compared to the right.

Initial management

Recognition of an ‘open book’ or vertical shear-type pelvis fracture means life-saving measures per the ATLS protocol must be implemented
The immediate application of a pelvic sling (a sheet wrapped around the pelvis centred over the trochanters) or commercially available pelvic binder in the emergency room will help reduce the pelvis volume and contain bleeding.
If in doubt about the fractureconfiguration,a pelvis binder should still be applied. It can always be removed later if it is not required. There is no place for applying an external fixator during the resuscitation phase; pelvis binders are very effective and easier to apply.There is no place for applying an external fixator during the resuscitation phase; pelvis binders are very effective and easier to apply.
Hemipelvis proximal migration is initially treated with skin or skeletal traction. Commence deep vein thrombosis prophylaxis once the patient is haemodynamically stable.

Definitive management

A single, minimally displaced pelvic ring fracture is treated non-surgically with initial bed rest in hospital until the pain is under control and then mobilisation with graduated weight-bearing over 4-6 weeks.
A double and displaced ring injury (fracture anteriorly and SIJ disruption or sacral fracture) typically constitutes an unstable injury pattern. It is best treated with surgical stabilisation of both anterior and posterior injuries.

Undisplaced acetabular fractures are treated non-surgically with short bed rest followed by toe touch weight bearing on the affected side for six weeks.Displacement of more than 2 mm at the joint surface (step or gap) requires surgical reduction and stabilisation.

X-ray image: pelvis vertical shear-type injury. Notice the cephalad migration of the left hemipelvis associated with left sacral alae fracture.
X-ray image: pelvis vertical shear-type injury. Notice the cephalad migration of the left hemipelvis associated with left sacral alae fracture.

Complications

Early

Exsanguinating haemorrhage is often seen in ‘open book’ or shear type pelvic injuries. Neurological injuries, such as L5 nerve root injury due to sacral fractures and shear-type fractures. Deep vein thrombosis (DVT) is another early complication.

Late

Acetabular fracture malunion will lead to osteoarthritis requiring a hip replacement later. Avascular necrosis of the femoral head if there was an associated hip dislocation. Heterotopic ossification.Pelvic fracture malunion may cause chronic pain, compromise the birth canal, patient gait and overall quality of life.