Paediatric fractures: A general approach
by Anria Horn
Learning Objectives
- Understand the differences between adult and paediatric fractures
- Identify greenstick, buckle and growth plate fractures.
- Understand the basic principles of managing paediatric fractures.
- Exclude non-accidental injuries (NAI).
Clinical assessment
- History: In very young children, get additional history from parents or caregivers. Determine the time and mechanism of the injury. Be wary of changing stories and an implausible history. Fractures in non-walkers should raise suspicions of NAI.
- Examination: Assess the child from head-to-toe using the ‘look, feel and move’ approach. In small children look for pseudo-paralysis (unwillingness to move a limb) and refusal to weight bear. Also look for swelling, deformity and bruising. Feel for tenderness or crepitus.
- Special investigations: Start with X-rays of the affected limb or limbs. Also, apply the rule of 2:2 views (AP and lateral), two joints (above and below). In the case of uncertainty, two sides to compare to the normal side.
How are children’s bones different from adult bones?
Children have growth plates that may be confused with fractures; an X-ray of the contralateral side for comparison can assist if you are not sure. Children’s bones are also elastic and can bend without breaking. They also have remodelling potential. The closer the fracture to the growth plate, the greater the remodelling potential.
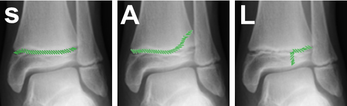
Growth plate injuries
In children, the weakest point around a joint is the growth plate. In adults, it is usually the ligaments of the joint. Growth plate fractures occur in typical patterns and are described using the Salter-Harris classification. The word SALTER (I – Straight across, II – Above, III – Lower, IV – Trough Everything and V – cRush) is a useful acronym to remember this classification.
- Type II fractures are by far the most common
- Type III and IV are intra-articular fractures and require anatomical reduction.
- Type V is associated with a high rate of growth disturbance.


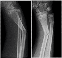
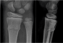
Greenstick and buckle fractures
- Buckle fractures occur when the thin cortex buckles under the force of a fall, but no displacement occurs, and continuity of the cortex is not disrupted.

- Greenstick fractures occur when a force breaks one cortex, but the other remains intact and acts as a hinge.

Principles of management
- Buckle fractures, regardless of which bone is involved, can be managed with simple immobilisation in the form of a backslab, cast or removable splint. Immobilisation for the upper limbs is typically 2 – 3 weeks and the lower limbs 3 – 4 weeks.
- All diaphyseal fractures, including greenstick, should be reduced and immobilised until union is achieved. Immobilisation can be in the form of a plaster cast (tibia fractures), a backslab (fractures around the elbow) or a sling (clavicle and proximal humerus fractures).
- Residual deformity can be accepted depending on the location of the fracture and the age of the child.
- Typical time to union is three weeks for the upper limb and six weeks for the lower limb.
- Operative treatment is seldom indicated and will be dealt with in separate chapters.
Resources
Modified images:
Tib/fib growth plate. Available from:https://commons.wikimedia.org/wiki/File:Tib_fib_growth_plates.jpg